Evolve Dental Care

“The staff at Evolve Dental Care are very friendly and welcoming the moment you walk in the door. At my last appointment I arrived 15 minutes early and they got me right in. They have been on schedule since my first appointment there and don't keep you waiting. During my appointment, the staff made friendly conversation.” - Jamie M

Straighten Teeth with Invisalign

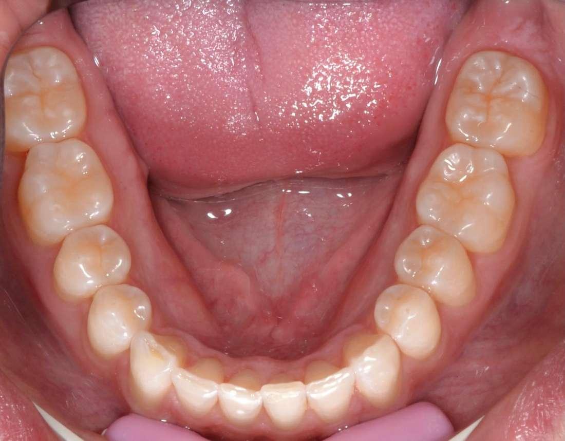
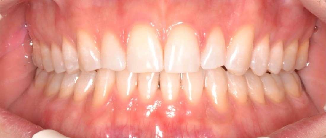
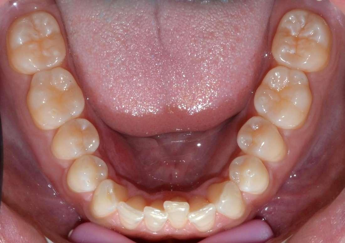
This person was not happy with the alignment of their teeth and noticed excessive wear on lower front teeth. Excessive wear, retention of plaque and bone loss can be caused if teeth are not aligned properly. Clear aligners, known as Invisalign in Allentown are a great option to straighten your teeth and smile confidently!

Related Services:

Invisalign® Clear Aligners
Not finding what you need?
If you have difficulty using our website, please email us or call us at (610) 797-8245