Evolve Dental Care

“The staff at Evolve Dental Care are very friendly and welcoming the moment you walk in the door. At my last appointment I arrived 15 minutes early and they got me right in. They have been on schedule since my first appointment there and don't keep you waiting. During my appointment, the staff made friendly conversation.” - Jamie M

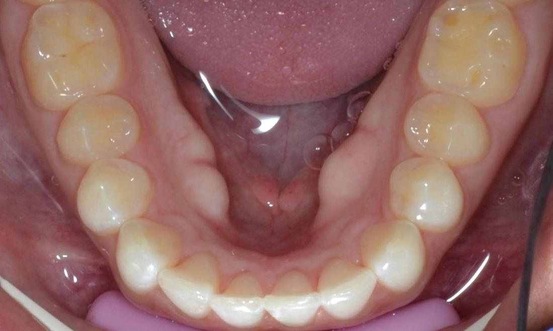
Straighten Your Smile with Invisalign in Allentown

This patient arrived at Evolve Dental Care with crooked teeth. Crooked teeth can lead to periodontal disease, also known as gum disease and premature wear on enamel. This patient's teeth were aligned within a few short months with Invisalign treatment in Allentown, PA.

Have Questions? Get in Touch
If you have difficulty using our website, please email us or call us at (610) 797-8245
Privacy Policy