Evolve Dental Care

“The staff at Evolve Dental Care are very friendly and welcoming the moment you walk in the door. At my last appointment I arrived 15 minutes early and they got me right in. They have been on schedule since my first appointment there and don't keep you waiting. During my appointment, the staff made friendly conversation.” - Jamie M

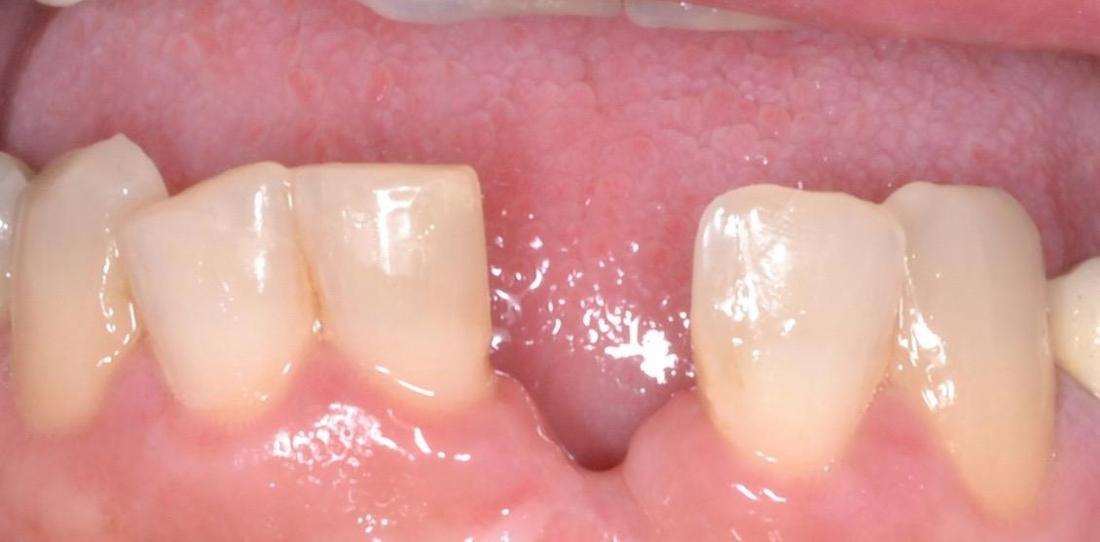
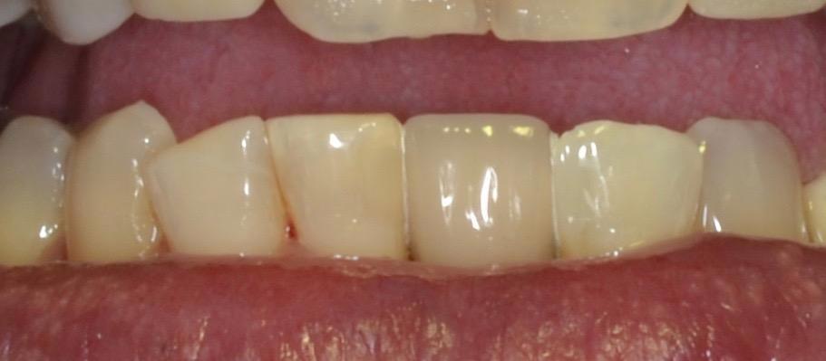
Maryland Bridge in Allentown, PA

This patient suffered with severe bone loss on their lower front tooth. Our dental team in Allentown, PA got together and made a plan for a Maryland bridge. A Maryland Bridge is a simple and cost effective dental implant method to replace a single tooth.

Related Services:

Dental Crowns & Bridges
Evolve Dental Care - Happy Patient
Ready to book an appointment?
If you have difficulty using our website, please email us or call us at (610) 797-8245
View the ADA Accessibility Statement