Evolve Dental Care

“The staff at Evolve Dental Care are very friendly and welcoming the moment you walk in the door. At my last appointment I arrived 15 minutes early and they got me right in. They have been on schedule since my first appointment there and don't keep you waiting. During my appointment, the staff made friendly conversation.” - Jamie M

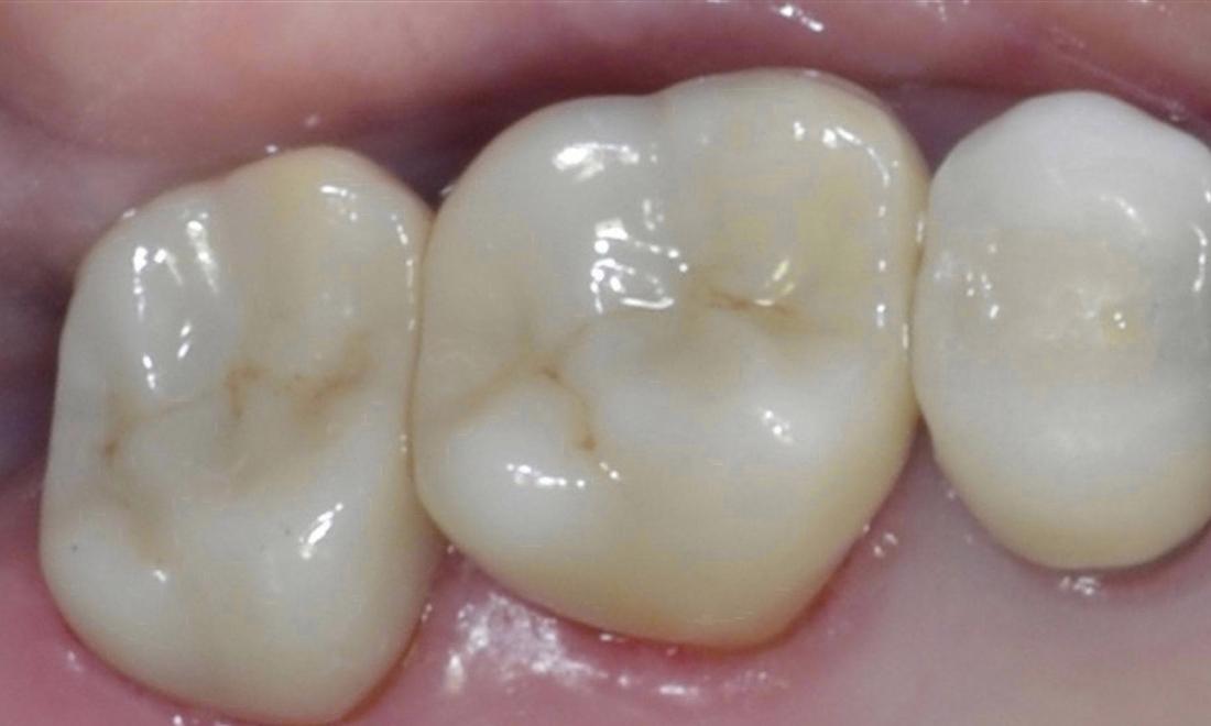
Ceramic Dental Crown In Allentown, PA

This patient arrived at Evolve Dental Care with large and defective amalgam restorations. Our dental team got together and restored these problem teeth with ceramic dental crowns in Allentown, PA. If you think dental crowns may benefit your smile, call us today.

Related Services:

Dental Crowns & Bridges
Evolve Dental Care - Happy Patient
Ready to book an appointment?
If you have difficulty using our website, please email us or call us at (610) 797-8245
View the ADA Accessibility Statement